-
Dec 22 2014
Discovery of Replicating Circular RNAs by RNA-Seq and Computational Algorithms
Recently, a cooperation between Institute of Plant Protection, CAAS and School of Life Sciences, University of Science and Technology of China has yielded a big progress in the field of circular RNA (... -
Dec 22 2014
Findings of a Novel Amdoparvovirus Infecting Farmed Raccoon Dogs and Arctic Foxes
Researchers discovered a new amdoparvovirus, named raccoon dog and fox amdoparvovirus (RFAV) from farmed raccoon dogs(Nyctereutes procyonoides) and arctic foxes(Vulpes lagopus) in China. -
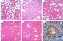
Dec 18 2014
Potential Risk to Human Public Health Posed by H9N2 Avian Influenza Viruses
Avian influenza viruses continue to present challenges to human health. Recently the H7N9 and H10N8 viruses that are of low pathogenicity for poultry have caused human infections and deaths in China. -
Dec 17 2014
Cucumber Secrets Revealed: Bitter or Sweet ?
An international team lead by Sanwen Huang, professor of Institute of Vegetables and Flowers and Deputy Director of Shenzhen Agricultural Genomic Institute, CAAS, revealed the molecular basis of biosy... -
Dec 16 2014
Prediction of the Key Binding Site of Odorant-binding Protein of Holotrichia oblita
The scarab beetle Holotrichia oblita Faldermann (Coleoptera: Scarabaeidae) is a predominant underground pest in the northern parts of China, and its larvae (grubs) cause great economic losses because ... -
Dec 16 2014
Prediction of the Key Binding Site of Odorant-binding Protein of Holotrichia oblita
The scarab beetle Holotrichia oblita Faldermann (Coleoptera: Scarabaeidae) is a predominant underground pest in the northern parts of China, and its larvae (grubs) cause great economic losses because ... -
Dec 02 2014
China's First Anti-Viral Protein Pesticide—— "Atailing" Successfully Demonstrated
From June to November 2014, China’s first anti-viral protein pesticide “ATaiLing”, which was developed by the Institute of Plant Protection (IPP), CAAS, was conducted the anti-viral field experiment i... -
Dec 02 2014
CAAS Recently Revealed Molecular Expression Characteristics of Ovine Seasonal Estrus
The mutton sheep and goat genetics and breeding team led by Professor Mingxing Chu in Institute of Animal Science of CAAS, reported that the characterization and comparative profiling of ovarian micro... -
Nov 27 2014
Breakthrough in Attenuated Vaccine Improves Control Options for Tembusu Viral Disease
Since the spring of 2010, outbreaks of duck Tembusu viral disease characterized by death, retarded growth, high fever, loss of appetite, and egg production decline hit the duck breeding areas in China... -
Nov 27 2014
“Breeding of Dwarf Pear Germplasm and Dwarf Pear Stocks” Won Sinoref Horticulture Technology Award
China Society for Horticultural Science and Beijing Sinoref Agricultural Development Co., Ltd. recently released the list of Sinoref Horticulture Technology Awards. “Breeding of Dwarf Pear Germplasm a...
